Please confirm topic selection

Are you sure you want to trigger topic in your Anconeus AI algorithm?

Please confirm action

You are done for today with this topic.

Would you like to start learning session with this topic items scheduled for future?

Updated: Oct 15 2017

Ectopic Pregnancy

Snap Shot
  •  A 23-year-old woman in the ER complains of severe left lower quadrant abdominal pain of 6 hour duration with is associated with some moderate vaginal bleeding. She is sexually active. She does not use contraception. She has a history of PID. She denies being pregnant. Her last period was 9 weeks ago. A vaginal ultrasound is performed and showed a mass in the right adnexa.

Introduction
  • Any pregnancy outside the uterine cavity
  • Second leading cause of maternal mortality
  • Most commonly found in the
    • fallopian tubes (95%)
      • ampulla (75%)
      • isthmus (12%)
  • Risk factors include
    • prior ectopic pregnancy (10X)
    • PID (6X)
    • IUD use
    • advanced maternal age (3X)
    • multiparity
    • African American / Hispanic race
    • sterilization failure
    • history tubal ligation
Presentation
  • Should be suspected in any woman in reproductive age with
    • abdominal/pelvic pain (referred shoulder pain may be present)
    • irregular bleeding
    • amenorrhoea
    • temperture > 38 C is unusual (look for infectious cause)
  • Physical exam
    • cervical motion tenderness
    • adnexal mass
  • A ruptured ectopic pregnancy may present with
    • hypotension
    • signs of shock
Evaluation
  • Labs 
    • b-hCG does not increase appropriately 
      • quantitative b-hCG are lower than normal
      • prolonged doubling times
        • should double every 24 hours in an intra-uterine pregnancy
    • Very low progesterone level indicates non-viable pregnancy
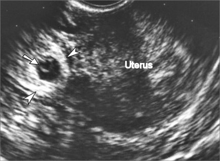
  • Pelvic ultrasound
    • elevated b-hCG with no signs of uterine gestational sac by ultrasound is highly suspicious
    • if symptoms are present an adnexal mass can usually be seen with transvaginal ultrasound

 Treatment
  • Stable ectopic pregnancies (< 3 cm, with a b-hCG < 5000)
    • treat with methotrexate 
  • All other ectopic pregnancies are treated surgically (now laparoscopic)  
  • Give RhoGAM to Rh negative mothers
  • Follow with post treatment b-hCG levels to ensure complete destruction of trophoblastic tissue
Question
1 of 3
Private Note